الجزائر - Médecine dentaire
  • زراعة الاسنان
    زراعة الاسنان
    زراعة الاسنان هل تحتاج زراعة الاسنان أم لا؟ بشكل عام ، إذا فقدت أسنانك ، يمكنك أن تقرر إجراء زراعة الأسنان. ومع ذلك ، من المهم أن تكون في أفضل حالات ...
  • نفس برائحة الثوم والبصل؟ هكذا تتخلص منه!
    نفس برائحة الثوم والبصل؟ هكذا تتخلص منه!
    يتميز كل من البصل والثوم باحتوائها على مركبات كبريتية تطلق غازات كريهة لدى تقطيع الثمرة، وتمتزج هذه عادة مع بكتيريا الفم لتظهر رائحة لا تطاق أحياناً للنفس. ولا تتلاشى الرائحة ...
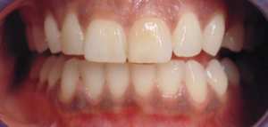
  • إليكم هذه النصائح للحصول على أسنان براقة طبيعية!
    إليكم هذه النصائح للحصول على أسنان براقة طبيعية!
    إلى ذلك، يعدد موقع صحيفة "الدايلي ميل" البريطانية مجموعة من الخطوات للحصول على ابتسامة هوليوودية براقة يحلم بها كثيرون. لا يسهل على الجميع الحصول عليها بسبب كلفتها الباهظة، فيلجأ البعض ...
  • علاج تسوس الاسنان
    علاج تسوس الاسنان
    سبب تسوس الاسنان تسوس الاسنان ينتج عن طريق تحلل السكر المتواجد في جميع الاطعمه التي نتناولها حيث يتم هذا التحلل في الفم مكونا احماض تعمل على تآكل الطبقه الخارجيه المكونة ...
  • كيف تعالج اللثة الملتهبة
    كيف تعالج اللثة الملتهبة
    التهاب اللثة هي إحدى أكبر وأكثر المشكلات المنتشرة بين جميع الأشخاص دون استثناء، حيث إن العديد من النأشخاص يصابون بالتهاب باللثة الذي يشعر المصاب بألم وحرقة بمنطقة اللثة والأسنان ولا ...
  • بعد خلع ضرس العقل
    بعد خلع ضرس العقل
    خلع ضرس العقل تُعرّف أضراس العقل على أنّها المجموعة الثالثة والأخيرة من الأضراس. وتظهر عند معظم الشباب في أواخر العقد الثاني وبداية الثالث من العمر، ويضطّر أغلب الناس إلى خلعها كونها ...
  • كيفية علاج الضرس الملتهب
    كيفية علاج الضرس الملتهب
    بُنية الأسنان تتكوّن الأسنان والأضراس من التّاج (الجزء الظّاهر في الفم)، والجذور(الجزء المَحميّ في السّنخ السنيّ)، ويربط بينهما العنق.[١] كما تتكوّن الأسنان من ثلاثة أنسجةٍ رئيسيّةٍ وهي:[١] طبقة المينا: أي ...
  • كيفية تسكين ألم الضرس
    كيفية تسكين ألم الضرس
    ألم الأسنان من المعروف أنّ ألم الأسنان غالباً ما يزداد سوءاً خلال فترة الليل عند النوم والحاجة لأخذ قسطٍ من الراحة، غير أنّ رفع الجسم قليلاً قد يُخفّف من هذا ...
  • ما هي أنواع قرحة الفم
    ما هي أنواع قرحة الفم
    كلمة قرحه، ( هو فقدان جزء من الجلد او من الغشاء المبطن داخل الفم ) ممكن ان تكون باعداد واحجام مختلفه حسب المرض. يعرف مجموعة من الامراض التي تبدأ اعراضها ...




لا يوجد أي صورة








لا يوجد أي إعلان





  • عيادة طب الأسنان
    عيادة طب الأسنان
    دكتور : رمضلن سهيل
    العنوان : : 83 شارع ديدوش مراد ، مركز الجزائر ، الجزائر (16) ، الجزائر
    - الجزائر العاصمة
    الأنشطة : طبيب الأسنان: جراح الأسنان وطبيب جراحة الأسنان
    ...
  • الدكتور ا. بويزم
    الدكتور ا. بويزم

    العنوان : : حي العقيد عثمان بناية 12 رقم 209 عين تموشنت - عين تموشنت
    ...
  • الدكتور عبد الصمد قايم
    الدكتور عبد الصمد قايم

    العنوان : : 29 شارع لعربي بن مهيدي وهران - وهران
    ...



لا يوجد أي مقطع فيديو








لا يوجد أي مقطع موسيقي