
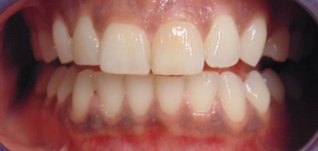
التهاب اللثة هي إحدى أكبر وأكثر المشكلات المنتشرة بين جميع الأشخاص دون استثناء، حيث إن العديد من النأشخاص يصابون بالتهاب باللثة الذي يشعر المصاب بألم وحرقة بمنطقة اللثة والأسنان ولا يستطيع السيطرة ومعرفة مكوان الألم وذلك بسبب الالتهاب المنتشر بكل الفم. الأسباب التي تؤدي لحدوث التهاب اللثة : السبب الرئيس هو عدم العناية بصحة الفم والأسنان وذلك عن طريق تنظيفهم يومياً بالفرشاة والمعجون ثلاث مرات يومياً. الحرارة الساخنة للطعام والمشروبات.غسل الأسنان بطريقة عنيفة حيث إنّها تؤدي لحدوث جروح باللثة من ثم تتحول إلى بكتيريا وتنتشر لباقي الأسنان. القلق والعصبية والضغط النفسي الشديد يسبب التهاب باللثة. تناول المضادات الحيوية بكثرة حيث إنها تقضي على الأجسام المضادة بالفم والتي تحميه من الجراثيم وتكون البكتيريا. الأعراض التي يشعر بها المصاب بالتهاب باللثة. نزول الدم من الفم أثناء تنظيف الأسنان. الرائحة الكريهة للفم. وجود طبقة مائلة للاحمرار ومحيطة بالأسنان وتكون منتفخة قليلاً. الشعور بالحرارة الشديدة عند منطقة اللثة. ظهور بعض التقرحات ذات الرأس الأبيض داخل الفم وتكون بمعظم الحالات معدية لنفس الشخص وتنتشرداخل الفم إذا لم يتم علاجها. طرق العلاج من التهاب اللثة : يمكن أن يشفى التهاب الثة وحده دون استخدامه أي من الأدوية ولكن بشرط أن لا يكون هناك نزيف باللثة أو تقرحات شديدة وتزول خلا أسبوع إلى أسبوعين ولكن الأدوية تعمل على التقليل من العدوى البكتيرية. استخدام المراهم الخاصة باالتهاب اللثة وهي عبارة عن جل يتم دهنه مرتين إلى ثلاثة باليوم بعد الأكل وبعد تنظيف الأسنان. المضادات الحيوية الواسعة الإنتشار. استخدام الغسول للفم هناك بعض الأنواع التي تباع بالصيدليات، ويمكن تحضير غسول بالبيت وهو عبارة عن ملعقة من الملح مع نصف لتر من الماء البارد ويتم الغرغرة به يومياً. دهن اللثة بالقليل من زيت الزيتون باستخدام قطنة حيثإن زيت الزيتون يحتوي على مضادات الأكسدة ويزيل الالتهاب بسرعة كبيرة. دهن اللثة بقليل من زيت الجلسرين باستخدام القطنة فهو يعمل على قتل البكتيريا بالفم ويعقم ويطهر الفم بالكامل حاله كحال زيت الزيتون. يفضل تنظيف الأسنان بهدوء ولطف لتجنب جرح اللثة. الغمتناع عن تناول الطعام الحار والمخللات والفلفل التي تزيد من غحتمالية حدوث التهاب باللثة. تنظيف الأسنان والعناية بصحتهم جيداً وتنظيفهم بالسواك والخيط لمنع تجمع الأطعمة بين الأسنان التي تتخمر وتتحلل بعد ذلك لتسبب البكتيريا التي تتعايش على هذه البقايا وتزيد من التهاب اللثة.
-
تعليقكـم
سيظهر تعليقك على هذه الصفحة بعد موافقة المشرف.
هذا النمودج ليس مخصص لبعث رسالة شخصية لأين كان بل فضاء للنقاش و تبادل الآراء في إحترام
مضاف من طرف : nemours13
المصدر : mawdoo3.com