Oran - A la une

Oran - La maladie fait toujours des victimes: Une campagne contre la tuberculose



Oran - La maladie fait toujours des victimes: Une campagne contre la tuberculose
A Oran, notamment dans les milieux sociaux défavorisés, le bacille de Koch fait toujours des victimes et il est à l'origine de trois à cinq décès par an.

Selon des sources hospitalières, pas moins de 1.800 nouveaux cas de tuberculose sont enregistrés chaque année à Oran.

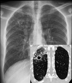
Dans la capitale de l'Ouest, la tuberculose pulmonaire (la forme la plus grave et qui peut être à l'origine du décès du malade) est la plus dominante. L'analyse de ces chiffres indique que malgré les différents programmes de lutte contre la tuberculose pilotés par les services de santé, et contrairement aux autres régions du pays, la wilaya d'Oran enregistre une augmentation dans le nombre de cas de tuberculose pulmonaire (contagieuse), ainsi que dans sa prévalence.

Cette recrudescence des nouveaux cas a finalement poussé les spécialistes à tirer la sonnette d'alarme. C'est dans ce cadre qu'une campagne de sensibilisation et d'information sur les méthodes de lutte contre cette maladie sera organisée par la direction de la Santé.

Cette campagne, qui s'étalera sur toute l'année, visera en premier lieu les résidences universitaires, les structures de santé et les établissements scolaires de la wilaya.

Ainsi, des équipes spécialisées en information, éducation et communication dans le domaine de la tuberculose, fournissent des explications sur les modalités et moyens de prévention contre cette maladie et l'observation des traitements prodigués aux malades au niveau des services précités, en plus de la sensibilisation des citoyens en dehors de ces établissements, pour prévenir contre cette maladie.

Mais il faut dire que nombreux sont les malades qui ne suivent pas leur traitement. Une seule personne atteinte de la tuberculose peut contaminer 15 autres personnes.

Ainsi, en 2010, près de 1.800 cas ont été enregistrés et autant en 2011. En 2009, quelque 1.950 cas de tuberculose (toutes formes confondues) ont été déclarés à Oran, dont 1.247 cas de tuberculose pulmonaire.

Au niveau de cette wilaya, l'incidence de l'affection de cette maladie est estimée à 85 cas pour 100.000 habitants. Or, au niveau national, 21.732 cas de tuberculose ont été déclarés dont 8.402 contagieux, soit une régression de la prévalence de 24,2 pour 100.000 habitants. La tuberculose pulmonaire mal traitée peut se transformer en tuberculose résistante.

Selon les spécialistes, la tuberculose à bacille résistant est l'œuvre de l'homme, elle reflète une défaillance quelque part dans la prise en charge du malade. Un tuberculeux normal peut devenir tuberculeux résistant si l'association des antibiotiques n'est pas prise en compte dans le traitement, et si le traitement n'est pas pris convenablement, chose qui peut entraîner le décès du patient.

Ces tuberculeux résistants nécessitent un traitement de troisième ligne qui dure 21 mois, coûteux (160.000 DA) et pas très efficace, tandis qu'un traitement de tuberculose normale ne dépasse pas les 2.100 DA.
Votre commentaire s'affichera sur cette page après validation par l'administrateur.
Ceci n'est en aucun cas un formulaire à l'adresse du sujet évoqué,
mais juste un espace d'opinion et d'échange d'idées dans le respect.
Nom & prénom
email : *
Ville *
Pays : *
Profession :
Message : *
(Les champs * sont obligatores)