
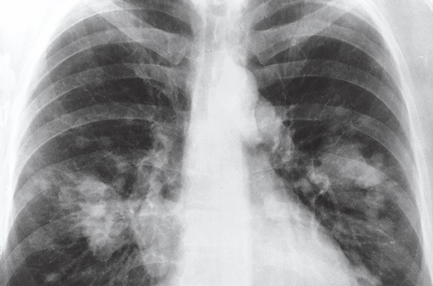
En marge de l'opération "Portes ouvertes sur la sensibilisation contre le tabagisme", organisée par la Cnas de Mostaganem, nous avons appris que 241 patients en 2015 et 302 autres en 2016 sont atteints de cancers de l'appareil respiratoire, orientés vers le service d'oncologie de Mazagran en vue d'une prise en charge en séances de chimiothérapie. Lors de la mini-campagne de sensibilisation au tabagisme, initiée par la Cnas, un pneumologue a tiré la sonnette d'alarme quant aux effets dévastateurs du tabac observés sur le terrain. Le conférencier a souligné que dans un foyer, lorsqu'une personne aura fumé 10 cigarettes, les autres membres de sa famille auront tout de même consumé une cigarette sans la fumer réellement, ce qu'on appelle le tabagisme passif, tout aussi nocif. Se voulant particulièrement persuasif, le médecin insistera sur l'indisponibilité à l'heure actuelle d'un quelconque traitement du cancer des poumons. La chimiothérapie reste inopérante. "Dès lors, le meilleur remède tient en la volonté ferme d'abandonner la cigarette", conclura-t-il en exhortant les gens à ne plus fumer. Au sujet du tabagisme passif, et à l'adresse des parents fumeurs, cette campagne est initiée à la direction de la wilaya par une série de communications animées par des médecins. Des conclusions d'une enquête menée auprès d'un échantillon d'assurés affiliés à la Caisse nationale d'assurance maladie de Mostaganem révèle que 27,6% des assurés interrogés sont des fumeurs, avec une prévalence plus élevée chez les hommes. Selon le même sondage, près du quart de l'échantillon (23,5%) consommait du tabac quotidiennement, alors que 4,1% seulement s'y adonnaient occasionnellement.M. Salah
-
Votre commentaire
Votre commentaire s'affichera sur cette page après validation par l'administrateur.
Ceci n'est en aucun cas un formulaire à l'adresse du sujet évoqué,
mais juste un espace d'opinion et d'échange d'idées dans le respect.
Posté par : presse-algerie
Ecrit par : M Salah
Source : www.liberte-algerie.com