Algerie - Syringomyélie

Syringomyélie "Maladies rares "



Syringomyélie
Syringomyélie

Qu'est-ce que c'est ?
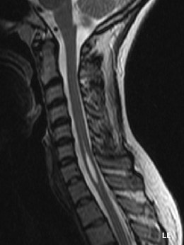
La syringomyélie se caractérise par la formation d’une ou de plusieurs cavités à l’intérieur de la moelle épinière, pouvant causer des douleurs chroniques sévères, des troubles neurologiques et un handicap moteur allant jusqu’à la perte d’autonomie. Ces cavités appelées « syrinx » endommagent les fonctions neurologiques de la moelle épinière. Elle résulte souvent d’une malformation de Chiari et sa prévalence est d’environ 8 personnes sur 100 000. (1)

Les symptômes
La sévérité des symptômes de la syringomyélie varie beaucoup, en fonction de sa cause sous-jacente, des caractéristiques de la cavité (taille, forme, localisation, progression) et des dommages ainsi causés à la moelle épinière. La moitié des personnes ayant une syringomyélie ne présente aucun symptôme ou seulement des gênes mineures. Lorsque la syringomyélie intervient sans cause connue, elle est bénigne dans deux-tiers des cas. (1) La maladie se développe silencieusement pendant plusieurs années et les premiers signes interviennent entre 20 et 40 ans et peuvent évoluer graduellement jusqu’à un handicap majeur et à une perte d'autonomie de la personne atteinte :

Faiblesse progressive dans les bras et les jambes, douleurs et sensations d’engourdissements dans les membres, réduction des réflexes, insensibilité à la douleur et à la température (exposant le malade au risque de blessure) ;
Incontinence urinaire et/ou anale ainsi que des troubles de l’érection ;
Lorsque la cavité est localisée à la base du cerveau, elle implique d’autres symptômes comme des maux de tête, des vertiges, des troubles de l’élocution et de la déglutition et parfois une paralysie faciale.
Certains de ces symptômes orientent parfois d’abord le diagnostic du médecin vers une sclérose en plaques. La syringomyélie entraîne à la longue une scoliose chez la moitié des personnes atteintes.

Les origines de la maladie
Dans la moitié des cas environ, la syringomyélie trouve son origine dans une malformation congénitale connue comme la malformation de Chiari. C’est une malformation d’une partie du système nerveux au niveau du cervelet qui, placé anormalement bas, perturbe l’écoulement du liquide céphalo-rachidien autour de la moelle épinière. Le liquide se fraie alors un chemin à l’intérieur de la moelle épinière et forme des cavités. Le liquide céphalo-rachidien (aussi appelé liquide cérébro-spinal) protège le système nerveux central contre les chocs et irrigue les cellules du cerveau en éléments essentiels.

La syringomyélie peut aussi être secondaire, le syrinx se développant sur un segment de la moelle épinière endommagée par un traumatisme, une infection (méningite), une hémorragie, une tumeur ou une arachnoïdite (inflammation des méninges). Notons que l’on ne connait pas toujours la cause de la maladie, qui est alors désignée comme une syringomyélie primitive ou idiopathique, souvent bénigne.

Les facteurs de risque
La syringomyélie se déclare généralement autour de 30 ans et touche plus fréquemment les hommes que les femmes. Il existe aussi une syringomyélie familiale représentant 2 % de tous les cas de syringomyélie. (1)

Prévention et traitement
Le traitement vise à corriger la cause sous-jacente, par exemple l’ablation d’une tumeur. Le recours à la chirurgie permet de stabiliser l’évolution des symptômes ou de les faire régresser un peu, mais le risque de rechute est important et peut nécessiter une seconde opération. Le type de chirurgie dépend des caractéristiques du syrinx et de l’expérience du neurochirurgien. L’opération consiste à rétablir l’écoulement du liquide céphalo-rachidien.

Certains malades ressentent des douleurs chroniques sévères qui altèrent beaucoup la qualité de vie. Elles sont traitées au moyen de médicaments (antidépresseurs tricycliques, myorelaxants, anticonvulsivants). Les personnes souffrant de syringomyélie ont souvent recours à un appareil de neurostimulation pour soulager la douleur. Des électrodes placées sur la peau envoient des petites décharges électriques qui vont interrompre la transmission des signaux douloureux.

Fiche créée : juillet 2016
Auteur : Yves Cambrai

Références bibliographiques
1. ORPHANET, le portail de référence sur les maladies rares et les médicaments orphelins, ORPHA3280. [http://www.orpha.net/consor/cgi-bin/OC_Exp.php?Lng=FR&Expert=3280]

Références :

Syringomyelia Fact Sheet. National Institute of Neurological Disorders and Stroke (NINDS).

[http://www.ninds.nih.gov/disorders/syringomyelia/detail_syringomyelia.htm]

La Syringomyélie et la Malformation de Chiari. Association nationale Spina Bifida et Handicaps Associés (ASBH).

[https://www.spina-bifida.org/IMG/pdf/SYRINGO_Mise_en_page_1.pdf]

Votre commentaire s'affichera sur cette page après validation par l'administrateur.
Ceci n'est en aucun cas un formulaire à l'adresse du sujet évoqué,
mais juste un espace d'opinion et d'échange d'idées dans le respect.
Nom & prénom
email : *
Ville *
Pays : *
Profession :
Message : *
(Les champs * sont obligatores)