خنشلة - Coran

النوم والسمع-----------3



النوم والسمع-----------3
النوم والسمع

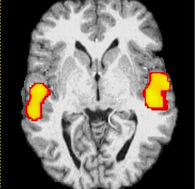
صورة للدماغ بواسطة جهاز المسح fMRI وقد تبين للعلماء أن الدماغ يبقى في حالة نشاط أثناء النوم، حيث يقوم بمعالجة المعلومات التي اختزنها طيلة النهار وترتيبها وتنسيقها في خلايا خاصة، والإشارات الصفراء على الصور هي للمناطق التي تنشط من الدماغ أثناء النوم بعد التأثير على هذا النائم بكلمات محددة. طبعاً هذه المناطق تختلف من شخص لآخر وتختلف مع نفس الشخص حسب حالته النفسية وحسب الحلم الذي يراه وهو نائم وحسب الأصوات التي يسمعها وهو نائم.

وهنا نود أن نشير إلى طريقة مهمة جداً للحفظ أثناء النوم! فإذا أردت أن تحفظ القرآن من دون أي جهد، فاترك صوت القرآن يعمل من أي وسيلة إلكترونية مثل التلفزيون أو الكمبيوتر، وسوف تجد أن الآيات التي تسمعها أصبحت مألوفة لك ويسهل حفظها. وهذه الطريقة جربتها ووجدتُ أنها من أفضل الطرق للحفظ من دون أي جهد!! وربما نتذكر هنا قوله تعالى عن تيسير القرآن لنا: (وَلَقَدْ يَسَّرْنَا الْقُرْآَنَ لِلذِّكْرِ فَهَلْ مِنْ مُدَّكِرٍ) [القمر: 17].

يابوس في 2010/06/12

مقراني علي
سيظهر تعليقك على هذه الصفحة بعد موافقة المشرف.
هذا النمودج ليس مخصص لبعث رسالة شخصية لأين كان بل فضاء للنقاش و تبادل الآراء في إحترام
الاسم و اللقب :
البريد الالكتروني : *
المدينة : *
البلد : *
المهنة :
الرسالة : *
(الحقول المتبوعة بـ * إجبارية)