ذاكرة الروائح****1 -ذاكرة الروائح
-ذاكرة الروائح
كيف استطاع سيدنا يعقوب تمييز رائحة قميص ابنه يوسف على مسافة بعيدة؟ وهل كشف العلماء أسراراً جديدة لحاسة الشم عند الإنسان؟ لنقرأ...
كثيرة هي الأباطيل التي ألصقها بعض المشككين ...
لغة الجلد! -لغة الجلد!
إن العلماء يؤكدون وجود صوت لخلايا الجلد تنطق به، ولكننا لا نفقه ما تقوله!! وهذا الاكتشاف حديث لم يكن لأحد علم به زمن نزول القرآن ولكن القرآن أخبرنا بأن ...
الجلد يتكلم ... سبحان الله!***3 -
الجلد يتكلم ... سبحان الله!
رسم يمثل مقطعاً في الجلد البشري، حيث نلاحظ أن الجلد يتألف من طبقات وهذه الطبقات تتألف من خلايا، وهذه الخلايا لديها القدرة على تخزين المعلومات لفترات ...
الجلد يتكلم ... سبحان الله!**2 -
الجلد يتكلم ... سبحان الله!
-صورة لسطح الجلد بالمجهر الإلكتروني ونرى عليها عدداً ضخماً من البكتريا والأوساخ والغبار، ومن هنا ندرك لماذا حرص الإسلام على طهارة البدن وعلى الوضوء باستمرار والاغتسال ...
الجلد يتكلم ... سبحان الله!***1
الجلد يتكلم ... سبحان الله!
-في هذا البحث نتعرف على اكتشافات طبية جديدة تثبت صدق كلام الله تبارك وتعالى عندما حدثنا عن تلك الجلود التي ستنطق يوم القيامة.....
إنها آيات عظيمة تشهد ...
كشف الكذب
كشف الكذب
****دثنا القرآن عن علامات تظهر على وجه من يحاول الكذب وعلى صوته أيضاً، وهذا ما كشفه العلماء في القرن الحادي والعشرين......
هناك تغيرات مهمة تحدث في الإنسان عندما يحاول ...
النوم والسمع--------5 النوم والسمع
***طالما ظن الإنسان أن النوم عملية بسيطة، ولكن تبين حديثاً أنها من أعقد العمليات الطبيعية التي تحدث فقد اكتشف العلماء أن هناك مراحل للنوم، وأن الدماغ يطلق موجات كهرطيسية ...
النوم والسمع------------4
النوم والسمع
-يتأثر الدماغ بالصوت ويقول العلماء إن النشاط الدماغي يختلف حسب نوع الصوت الذي يحيط به، فكل كلمة ننطقها تؤدي إلى نشاط في الدماغ يختلف عن الكلمة الأخرى! سبحان الله ...
النوم والسمع-----------3 النوم والسمع
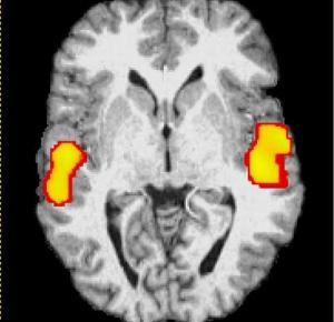
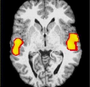
صورة للدماغ بواسطة جهاز المسح fMRI وقد تبين للعلماء أن الدماغ يبقى في حالة نشاط أثناء النوم، حيث يقوم بمعالجة المعلومات التي اختزنها طيلة النهار وترتيبها وتنسيقها في خلايا ...
المصحف المكتوب باليد يتبين لنا كيف كان الاباء والاجداد يهتمون بكلام الله من خلال هذا المصحف المكتوب باليد يتبين لنا كيف كان الاباء والاجداد يهتمون بكلام الله كتابة وحفظا وتحفيظا وعملا واليوم للاسف الشديد من يملك العشرات من المصاحف المكتوبة بكل انواع ...
الاخ محمد بلاغماس بن السعدي في ذمة الله في هذه الايام السعيدة ايام عيد الاضحى المبار نتذكر فقيدنا المغفور له ان شاء الله الحاج محمد بلاغماس ابن السعدي الذي توفي منذ شهرين بالبقاع المقدسة بالتحديد بمكة المكرمة محمد ...
صور من الإعجاز العلمي لاستخدام المسك كمضاد حيوي صور من الإعجاز العلمي لاستخدام المسك كمضاد حيوي
قال تعالى يسقون من رحيق مختوم * ختامه مسك * وفي ذلك فليتنافس المتنافسون. (المطففين25-26).
ذُكر في قانون الطب لابن سينا ...