الجزائر - Médecine Générale

فقاع الأباعد الورمية (PNP):



فقاع الأباعد الورمية (PNP):
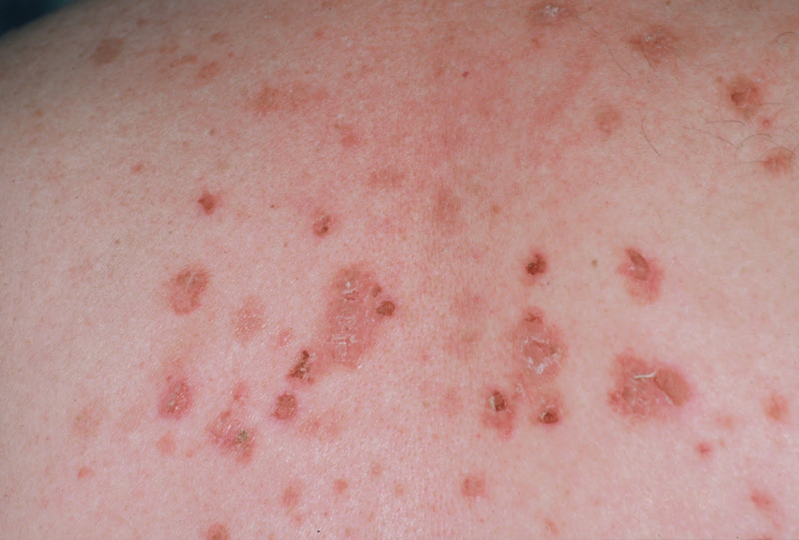
رغم وجود العديد من أشكال الفقاع، إلاَّ أنَّ الفقاع المصاحب للورم هو الأقل شيوعاً والأكثر خطورة. PNP هو مرض فقاعي مناعي ذاتي نادر يسبب تقرحات. هذا المرض قاتل للغاية، ويموت 90٪ من الأشخاص المشخصين بالإصابة به بسبب تعفن الدم، وفشل الكثير من أعضاء الجسم. وتنتشر هذه المتلازمة عند الأشخاص ذوي الأعمار المتوسطة والمُتقدمة وعادةً تلازم أورام الرئتين، الثدي، المبيضين أو الجهاز اللمفي. وفي العديد من الحالات تظهر أعراض المُتلازمة قبل تشخيص الورم بحد ذاته. وتمَّ تصنيف هذه المتلازمة إلى أربع فئات تتلخص بالمتلازمة الصماوية (مُتعلقة بالغدد الصماء)، العصبيّة، المُخاطية الجلدية وأخيراً الدموية (مُتعلقة بعلم الدم والدمويات).
سيظهر تعليقك على هذه الصفحة بعد موافقة المشرف.
هذا النمودج ليس مخصص لبعث رسالة شخصية لأين كان بل فضاء للنقاش و تبادل الآراء في إحترام
الاسم و اللقب :
البريد الالكتروني : *
المدينة : *
البلد : *
المهنة :
الرسالة : *
(الحقول المتبوعة بـ * إجبارية)